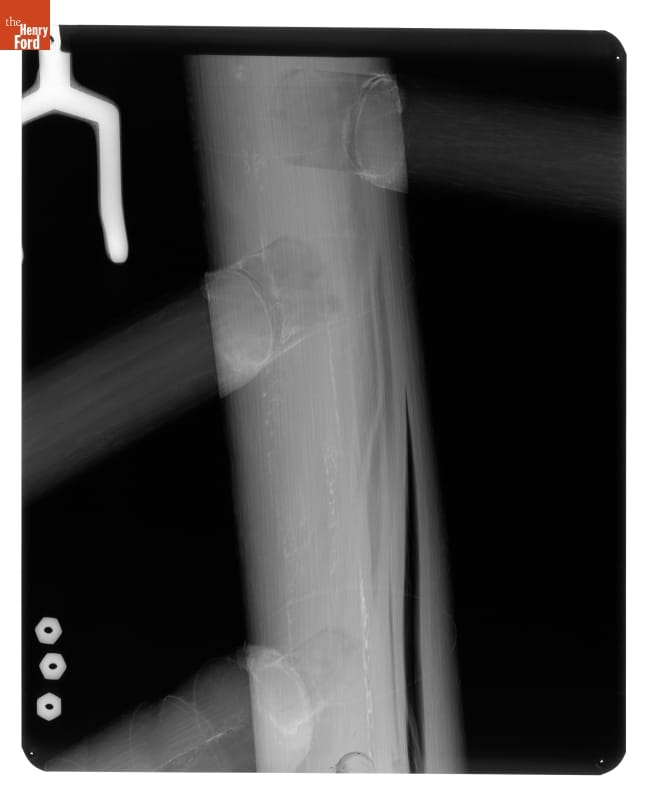
X-Ray of "Brewster" Chair, Imaged 1977
01
Artifact Overview
In 1977, questions arose about the authenticity of a celebrated 17th-century chair known as the "Brewster Chair" at The Henry Ford. X-Rays showed the mortise holes on the chair were made by drill bits developed in the late 18th or early 19th centuries. Comparisons with 17th-century chairs and woodworking tools helped conservators and curators prove the museum's chair was a modern woodworker's intentional fake.
Artifact Details
Artifact
Radiograph
Date Made
01 June 1977
Subject Date
01 June 1977
Location
By Request in the Benson Ford Research Center
Object ID
EI.288.11
Color
Black-and-white (Colors)
Dimensions
Height: 10 in
Width: 8 in
Keywords |
|---|
03
